根管治療
- HOME
- 根管治療
根管治療とは
根管治療(こんかんちりょう)とは、歯の神経や血管が通る「根管」部分の治療です。
虫歯が進行して神経まで達したり、その後、神経が死んでしまった場合に行われます。
また、一度根管治療が行われた歯の再治療もこれに該当します。
抜髄と感染根管処置
抜髄と感染根管処置は、根管治療における歯を保存するために非常に重要なプロセスです。
抜髄
歯髄(歯の神経)が感染・炎症を起こしている場合において、歯髄を取り除く処置を指します。
主に、虫歯が深く進行して歯髄炎を引き起こした場合に行われます。
感染根管処置
根管内に細菌が残存・繁殖している場合、再治療が必要な時に行われる治療です。
この治療では、根管内の細菌や汚染物を徹底的に除去し、再感染を防ぐために根管を封鎖します。
※ただし、通常の根管治療では治らない場合もあります。
その際は外科的な対応と致します。
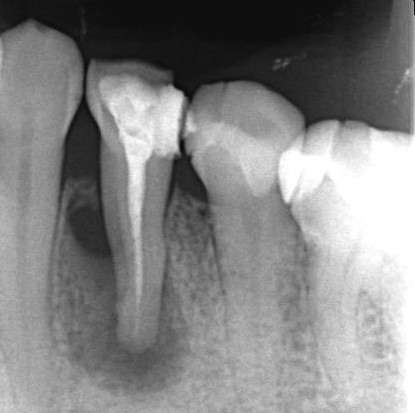
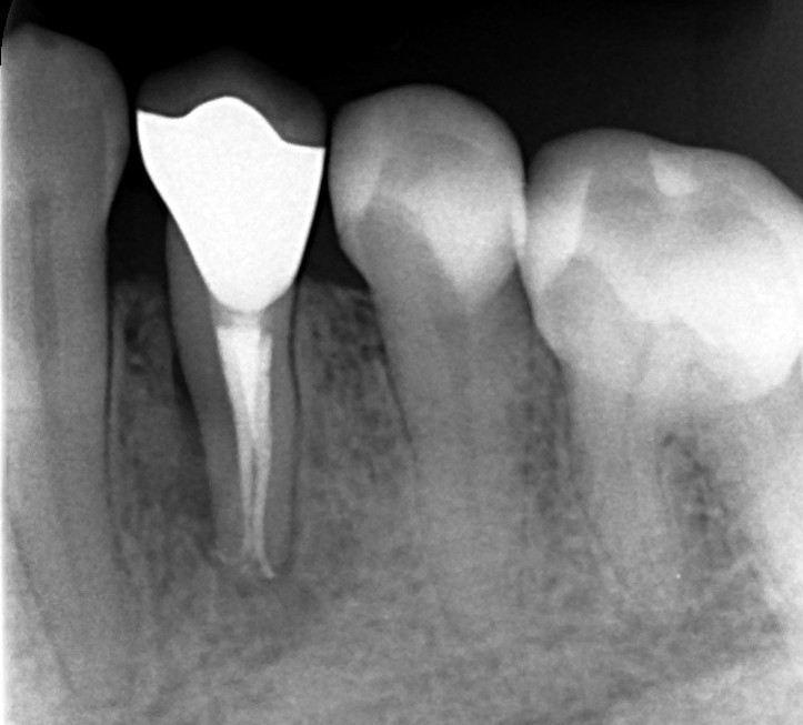
感染根管処置(再治療)
下顎小臼歯部

術前

術後

術前(CT画像)

術後(CT画像)
下顎大臼歯部

術前

術後

術前(CT画像)

術後(CT画像)



